Hyalinising Clear Cell Carcinoma (CCC)
Hyalinising Clear Cell Carcinoma (CCC)
Hyalinising Clear cell carcinoma (CCC) is a rare salivary gland cancer that typically occurs in the minor salivary glands located in the lips, cheeks, roof of the mouth (palate), and tongue (1, 2). Minor salivary glands produce 5% to 8% of saliva and can be found in almost any part of the mouth (3).
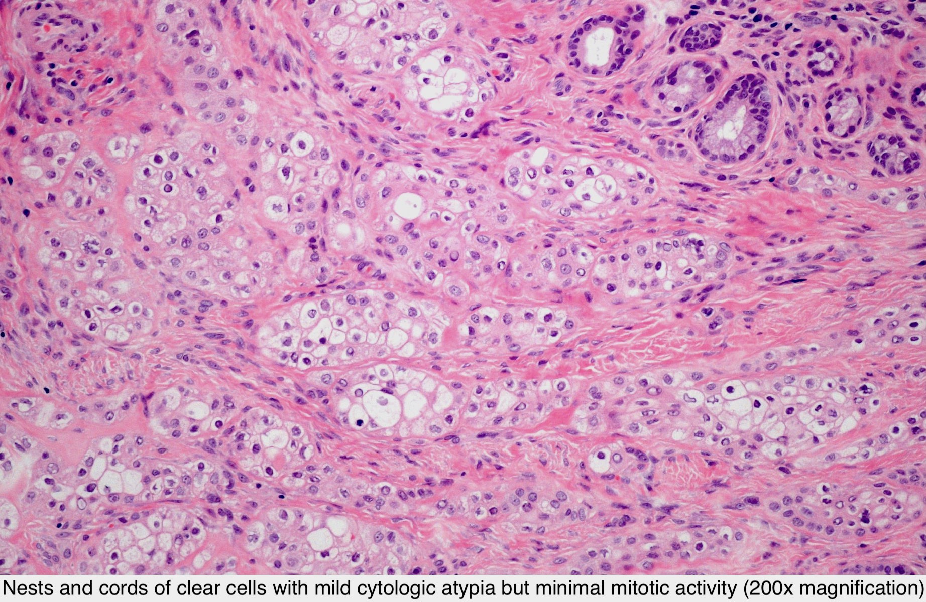
CCC affects slightly more women than men and occurs in people between the ages of 40 and 80 years of age (4). The cancer is made up of cells with a clear interior, which grow together to form sheets, nests, or cords (5). CCC typically form a slow-growing, painless lump, which has no symptoms until it reaches a larger size (4).
CCC is diagnosed by taking a sample of cells from the minor salivary gland. Genetic analysis is important to distinguish CCC from other cancers, and researchers have found that most CCC have a genetic abnormality, whereby two genes, EWSR1 and ATF1 are fused together (6).
CCC is a non-aggressive tumour, which rarely spreads to other parts of the body, including lymph nodes (1). The main treatment is surgery to remove the entire cancer. The long-term outlook of CCC is generally good, with a low chance of the tumour returning following surgery (2, 8).
Useful resources
Read more about how to get your tumour profiled and add to the research biobank at the Christie Hospital in Manchester, UK here:
- Gene profiling or tumour profiling or genomic testing - Salivary Gland Cancer UK
- Donate tissue to the Biobank - Salivary Gland Cancer UK
References
1. Arifi S, Hammas N, Ait Erraisse M. Clear Cell Carcinoma of Minor Salivary Glands: The Nasopharynx, an Uncommon Site of Origin. Cureus. 2022;14(5):e25033.
2. Chand M, Edens J, John R, Lin T, Anderson I. Hyalinizing clear cell carcinoma of the soft palate - a review of literature review. Autopsy Case Rep. 2020;10(2):e2020156.
3. Ghannam M, Singh P. Anatomy, Head and Neck, Salivary Glands Treasure Island (FL): StatPearls Publishing; [updated 2023 May 29. Available from: https://www.ncbi.nlm.nih.gov/books/NBK538325/.
4. Agrawal J, Kumar YP, Damera DA, Kumar S. Clear cell carcinoma of minor salivary gland: A case of clinical dilemma. Contemp Clin Dent. 2014;5(3):389-92.
5. Barnes LE, Eveson JW, Reichart P, D S. Pathology and genetics of head and neck tumours. World Health Organization Classification of Tumours. 2005:168-75.
6. Antonescu CR, Katabi N, Zhang L, Sung YS, Seethala RR, Jordan RC, et al. EWSR1-ATF1 fusion is a novel and consistent finding in hyalinizing clear-cell carcinoma of salivary gland. Genes Chromosomes Cancer. 2011;50(7):559-70.
7. Xuan L, Wang S, Wei J, Yuan J, Liu H. Clinicopathological and molecular study of 10 salivary gland clear cell carcinomas, with emphasis on rare cases with high grade transformation and occurring in uncommon sites. Diagnostic Pathology. 2022;17(1):18.
8. Alshehry S, Alnofaie H, Almusallam M, Alshuaibi H, Alodaini A. Clear cell carcinoma of soft palate in a young patient: A case report. Oral and Maxillofacial Surgery Cases. 2022;8(3):100260.
Last Updated September 2025
