Salivary Gland Cancer UK
Shop Donate
  • Home
  • About Us
    • Our Mission - Our 8 aims
    • The Story so Far - Our 5 year impact Report (2024)
    • SGC UK Governance
      • Sally Crowe
      • Shane Draper
      • Emma Kinloch
      • Robert Metcalf
      • Jackie O'Connor
      • Kemi Olaiya
      • Barry Thomas
    • UK Salivary Gland Cancer Research Working Group (UKSGCWG)
    • PPIE (Patient and Public Involvement and Engagement) Work
    • SGC Research Grants
    • SGC Travel Grants
      • Isobel Read shares her experience of ESMO 2025
      • Sian Dobbs shares her experience of ESMO 2025
    • Salivary Gland Cancer UK Mascots
    • Our Partners
  • Treatment Options
    • Diagnosis
    • Surgery
    • Radiotherapy
    • Drug Therapies
      • Drug Therapies - Immunotherapy
    • Clinical Trials
    • Radiofrequency ablation (RFA)
    • Gene profiling or tumour profiling or genomic testing
    • Patient follow up after treatment for SGC
  • Our Stories
    • Alex's story
    • Alison's story
    • Allison D's story
    • Barry's story
    • Christine's story
    • Dawn's story
    • Heather's story
    • Ian's story
    • Jade's story
    • Jamie's story
    • Jev's story
    • Jim's story
    • Kamla's story
    • Karen's story
    • Matilda's story
    • Sarah's story
    • Shane's story
    • Susan's story
  • Patient and Carer Support
    • Anxiety Management Techniques
    • Exercise for the head, neck and shoulder area
    • Returning to Work
    • Tips on communicating with an electrolarynx
    • How can I best support my mother?
    • Kemi shares her advice for supporting a loved one with cancer
    • Radiotherapy Treatment and Late Effects
      • The Late Effects of Radiotherapy Treatment with Emma Hallam, Consultant Therapeutic Radiographer
      • What is Radiation Induced Fibrosis? And How To Reduce Its Effects
      • Tips for Salivary Gland Cancer Patients Living with Radiotherapy Late Effects
      • Top tips for radiotherapy treatment from our network member Dawn
    • Dawn's tips for someone close to someone with Salivary Gland Cancer
    • Pain
    • Quality of Life (QoL) in Adenoid Cystic Carcinoma (ACC) Patients with Dr Joe Haigh
    • Mindfulness Practice with Emma Hallam, Consultant Therapeutic Radiographer
    • Psychological Support for those affected by Salivary Gland Cancers
  • Support SGC UK (and get involved)
    • Join Our Network (and get our newsletter)
    • Donate tissue to the Biobank
    • Our Events (gatherings and webinars)
    • Donate and help our work
    • Patient – Researcher Trial Discussions
    • Podcasts and Videos
    • Volunteering with SGC UK at a conference or event
    • Salivary Gland Cancer Day - 4th October
    • SGC UK Shareable Resources
    • Leaflets and Flyers
    • Ribbon badges, baseball caps, trolley coin fobs and more in our shop
  • Salivary Gland Cancers
    • A guide to different types of Salivary Gland Cancers
    • Genetic alterations in Salivary Gland Cancers
      • NTRK genes
      • The RET gene
      • The NOTCH gene
      • The MYB gene
      • Human epidermal growth factor receptor 2 (HER2)
      • Androgen Receptor (AR)
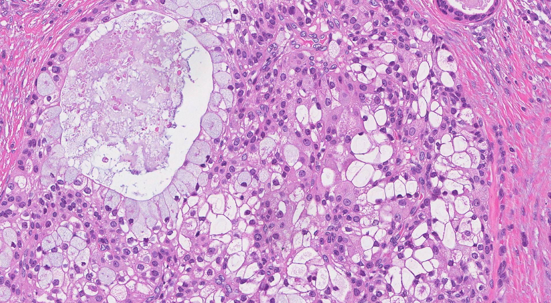
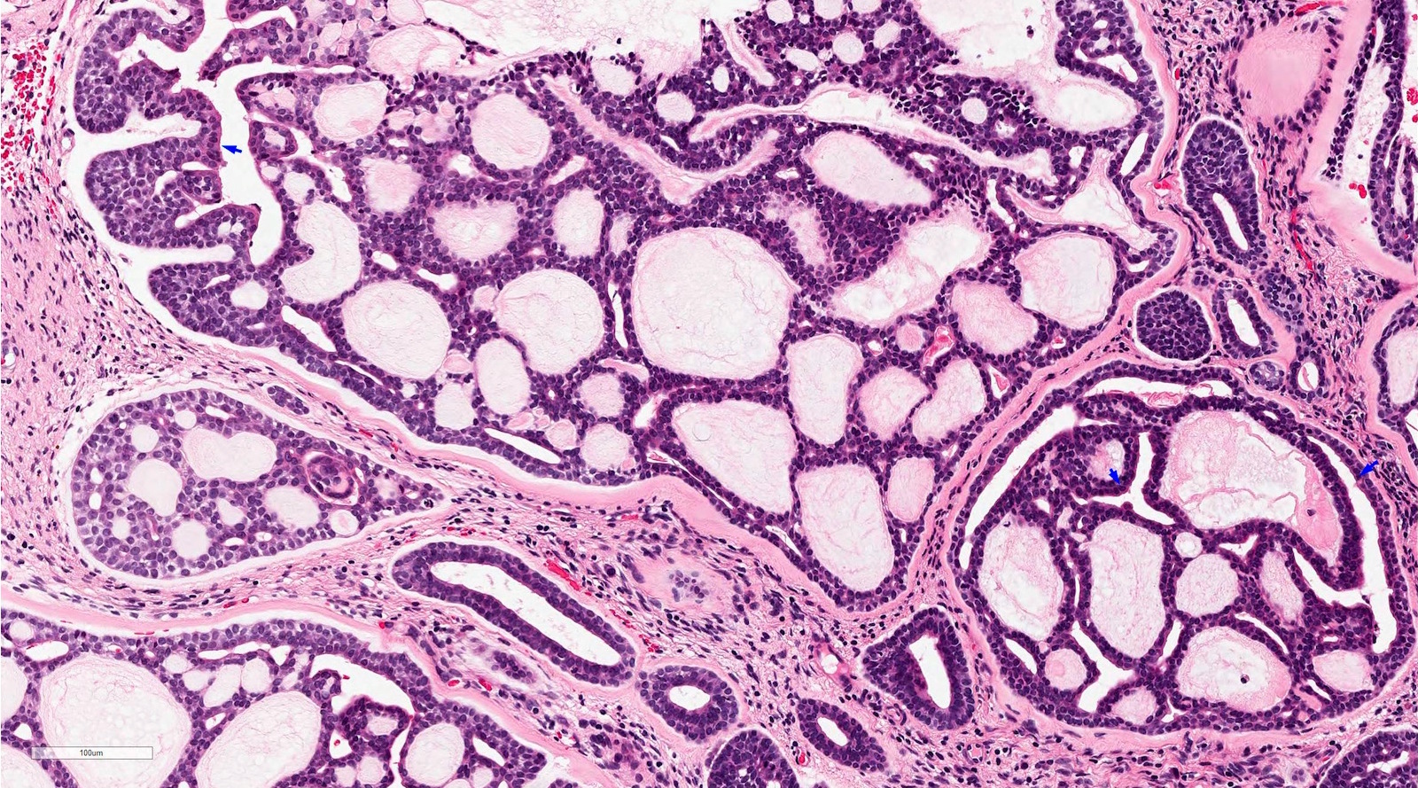
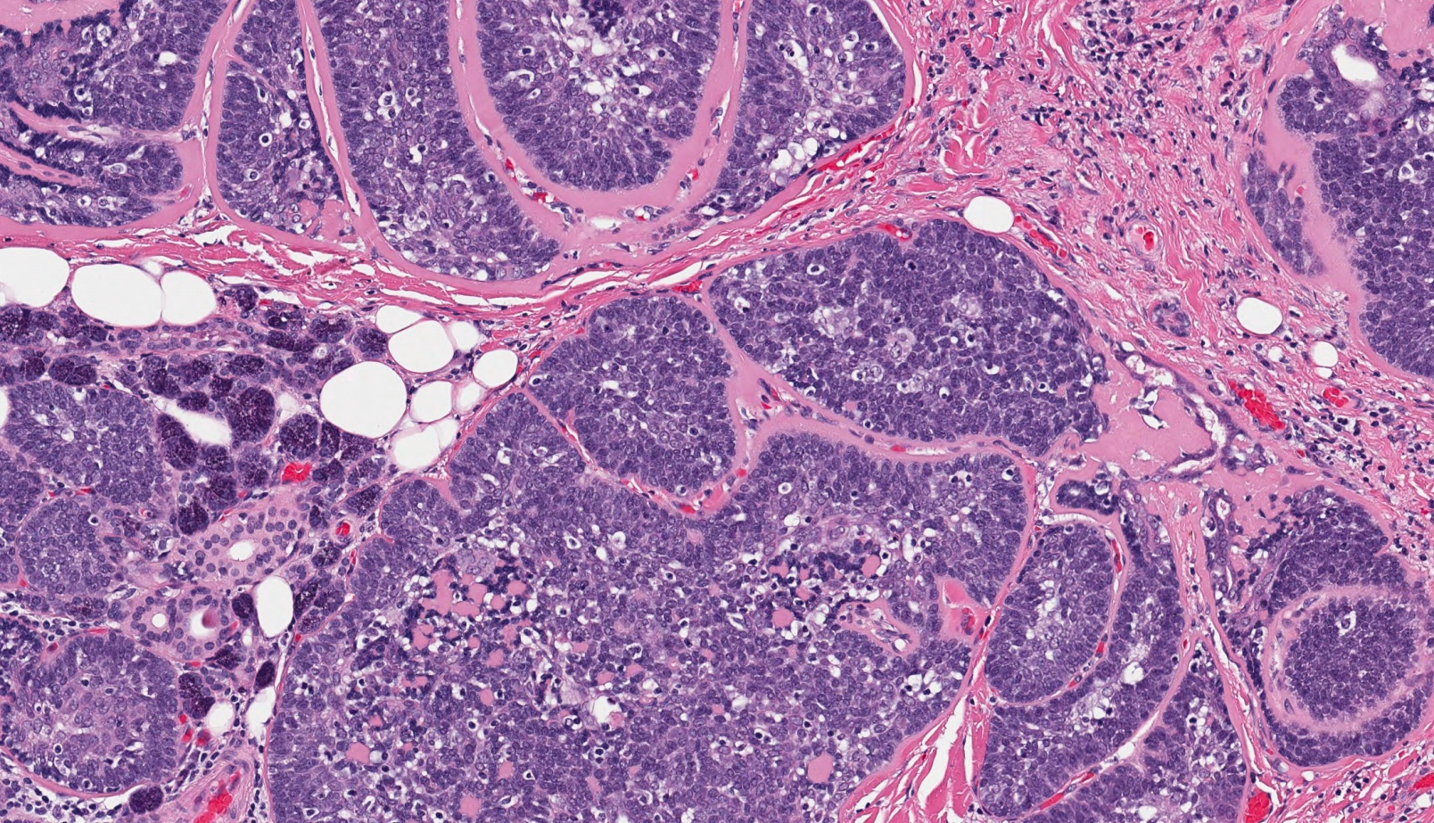
    • Acinic Cell Carcinoma (AcCC)
    • Salivary Gland Carcinoma, NOS (Adenocarcinoma)
    • Adenoid Cystic Carcinoma (ACC)
    • Salivary Gland Carcinoma, NOS (Adenocarcinoma, NOS)
    • Basal Cell Adenocarcinoma (BCAC)
    • Carcinosarcoma of the Salivary Glands
    • Salivary Duct Carcinoma (SDC)
    • Hyalinising Clear Cell Carcinoma (CCC)
    • Secretory Carcinoma (SC)
    • Mucoepidermoid Carcinoma (MEC) & Warthin-like MEC
    • Myoepithelial Carcinoma (MC)
    • Polymorphus Adenocarcinoma (PAC)
  • Body sites affected by SGC
    • Major Salivary Glands - Parotid, Sublingual and Submandibular
    • Secretory Glands - The Lacrimal Gland
    • Secretory Glands - Bartholin's Gland
    • Secretory Glands - The Lining of the Trachea
    • Skin
    • Nerves in the Head and Neck - Trigeminal Nerve
    • Nerves in the Head and Neck - Optic Nerve
    • Bone Structures in the Face
    • The Spine
    • Breast
    • The Ears
    • The Eye
    • How we taste
    • How we swallow
  • Fundraising for SGC UK
    • Run
    • Walk
    • Swim
    • Some fundraising ideas
    • Paying in the funds you've raised
    • Fundraising at work
    • Leaving a gift in your will
  • Salivary Gland Cancer Science - Research Updates
    • Association of quality of life with mortality in patients with adenoid cystic carcinoma using an internationally-validated QoL questionnaire (EQ-5D-5L)
    • Tracheal Adenoid Cystic Carcinoma: why studying it matters - and how biobanks help
    • Clinical Utility of Whole-Genome Sequencing to Aid Histologic Diagnosis and to Direct Personalized Medicine in Salivary Gland Cancer
    • Salivary gland cancer: new classifications and diagnostic challenges
    • New study examining disruption of oncogenic pathways in mucoepidermoid carcinoma (MEC)
    • New study reveals late recurrence and low survival rate of adenoid cystic carcinoma of the breast
    • New study using real-world UK data supports the use of HER2-directed therapies for HER2-positive salivary gland cancers
  • UK Salivary Gland Cancer Research Working Group (UKSGCRWG)
    • Research Working Group Members
    • RQ 1. Address the utility of Guidelines for Salivary Gland Cancers (SGC)
    • RQ 2. Assess the variation in histopathology reporting for Salivary Gland Cancers (SGC)
    • RQ 3. Standardise the decision-making processes for patients who have technically operable, Salivary Gland Cancer (SGC), where the surgery carries high morbidity
    • RQ 4. Improve the diagnostic pathway for Salivary Gland Cancer (SGC) patients
Join Our Network Add to Biobank Our Events Donate Shop

Working for those with rare salivary gland cancers.

Acinic Cell Carcinoma (AcCC)
Adenoid Cystic Carcinoma (ACC)
Basal Cell Adenocarcinoma (BCAC)
Carcinosarcoma of the Salivary Glands
Hyalinising Clear Cell Carcinoma (CCC)
Salivary Duct Carcinoma (SDC)
Salivary Gland Carcinoma, NOS (Adenocarcinoma)
Salivary Gland Carcinoma, NOS (Adenocarcinoma, NOS)
Secretory Carcinoma (SC)
Mucoepidermoid Carcinoma (MEC) & Warthin-like MEC
Myoepithelial Carcinoma (MC)
Polymorphous Adenocarcinoma

Acinic Cell Carcinoma (AcCC)

Acinic cell carcinomas account for 1-6% of salivary gland tumours.

Carcinosarcoma of the Salivary Glands

Carcinosarcoma accounts for less than 1% of all salivary gland tumours

Mucoepidermoid Carcinoma (MEC) & Warthin-like MEC

Mucoepidermoid Carcinoma (MEC) including Warthin-like MEC

Myoepithelial Carcinoma (MC)

Myoepithelial carcinoma makes up less than 2% of all salivary gland tumours

Polymorphus Adenocarcinoma (PAC)

Polymorphous adenocarcinoma (PAC) accounts for around 12% of malignant salivary gland tumours

Basal Cell Adenocarcinoma (BCAC)

Basal Cell Adenocarcinoma (BCAC) accounts for 1-3% of salivary gland cancers

Clinical Utility of Whole-Genome Sequencing to Aid Histologic Diagnosis and to Direct Personalized Medicine in Salivary Gland Cancer

Whole-Genome Sequencing (WGS) can be achieved in a clinically relevant timeframe for patients with relapsed/metastatic SGC

Salivary Gland Cancer Day - 4th October

19 Dec 2025

Raising Awareness for a Rare Disease. Welcome to the WORLD'S FIRST Salivary Gland Cancer Day, being held annually on the 4th of October.

SGC Travel Grants

Apply for funding to travel to a conference or workshop. We welcome all applications that are aligned with our strategy.

UK Salivary Gland Cancer Research Working Group (UKSGCWG)

09 Dec 2025

This working group is to identify the gaps in Salivary Gland Cancer Research, develop strategic priorities for this area of research and deliver them.

Load more stories
Salivary Gland Cancers
Our Stories
Patient and Carer Support
Support SGC UK (and get involved)
about 6 hours ago Turn Your Ideas into Impact: Fundraising for SGCUK! 💡 Every penny raised for SGCUK goes directly toward vital research and providing support for those living with rare salivary gland cancers. Whether you’re a baker, a gamer, or a thrill-seeker, there are endless ways to get involved! Need some inspiration? 🎉Host an Event: From classic coffee mornings and quiz nights to themed dinner parties or a "fancy-dress" games evening. 🏃‍♂️🏊‍♀️🚴‍♀️Take a Challenge: Start a 30-day streak of yoga, swimming, or cycling, or go the other way and give up chocolate, coffee, or even your smartphone! 🪂Go Big: Feeling brave? Sign up for a skydive, a zip wire, or a sponsored head shave. 🍬Keep it Simple: Run a "sweets in a jar" sweepstake, host a garden open day, or sell your vintage clothes on a resale app. ⭐How to get started: Whatever you dream up, setting up a page is easy. You can collect donations directly through our JustGiving page to keep things simple and secure. No matter the amount, your effort makes a massive difference to our community. Thank you for being part of the team! 🔗 Get more ideas and start your journey here: #SGCUK #Fundraising #CommunitySpirit #RareCancerResearch #MakeADifference #CharityIdeas #SalivaryGlandCancer @SGCancerUK
Radiotherapy remains a cornerstone of the multi-modal treatment approach for salivary gland cancers (SGC). As we move toward more personalised oncology, understanding the technical nuances of radiation delivery is essential for both patient outcomes and long-term quality of life.

In our latest "Let’s Talk Treatment" series, we are exploring how radiotherapy is evolving to become more precise, effective, and supportive.

Advanced Delivery Methods The goal of modern radiotherapy is to maximise the dose to the tumour while minimising exposure to critical surrounding structures like the jawbone, salivary glands, and optic nerves.

Intensity Modulated Radiotherapy (IMRT): A standard of care that shapes radiation beams to match the 3D contour of the tumour, reducing the risk of side effects.

Proton Beam Therapy (PBT): An advanced particle therapy that allows for an even more precise "stop point" for radiation.

Spotlight: The PRONTO Trial 📣 We are excited to share that the PRONTO trial is officially open for recruitment at The Christie NHS Foundation Trust and UCLH Charity. This evaluative study investigates the role of Proton Beam Therapy for patients with localised parotid carcinoma. Crucially, the study focuses on quality of life, evaluating whether PBT can significantly reduce long-term taste disturbance compared to conventional radiotherapy. Clinicians can refer eligible patients via the NHS Proton Referral Portal.

Addressing the "Late Effects" Because the head and neck region is anatomically dense, managing side effects is a critical part of the clinical pathway. While some effects are acute, others are "late effects" that can appear months or years post-treatment.

At SGCUK, we prioritise the "life beyond cancer" experience. We collaborate with specialists like Emma Hallam (Consultant Late Effects Radiographer) to provide evidence-based strategies for managing issues such as xerostomia (dry mouth), trismus (jaw stiffness), and radiation-induced fibrosis.

🔗 Access our professional guide, PRONTO trial details, and patient resource library here: https://lnkd.in/epzZkK5m

#Oncology #Radiotherapy #PRONTOTrial #ProtonBeam #SGCUK #ClinicalExcellence #CancerResearch #HeadAndNeckCancer #MedicalInnovation #PatientQualityOfLife
@sgcanceruk
When Salivary Gland Subtypes Occur in the Breast 🎀🔬
In oncology, the "cell signature" is often more indicative of a tumour's behaviour than its primary location. A striking example of this is seen in the breast, where less than 1% of diagnosed cancers are actually "salivary gland types."

Rare subtypes such as Adenoid Cystic Carcinoma (ACC), Secretory Carcinoma (SC), and Mucoepidermoid Carcinoma (MEC) can originate in breast tissue. However, they tend to behave like their salivary gland counterparts rather than typical breast cancers, necessitating a distinct clinical approach.

The Diagnostic Challenge: Navigating Triple-Negative Status

One of the most significant hurdles in treating ACC of the breast is the risk of misdiagnosis. These tumours are frequently "Triple Negative" (TNBC). While TNBC in common breast cancer typically suggests a highly aggressive disease, in ACC, it is often much slower-growing and carries a different long-term outlook.

Accurate histopathological and genetic differentiation is vital to:
✅Avoid Over-Treatment: Ensuring patients are not subjected to unnecessarily aggressive chemotherapy regimens.
✅Refine Prognosis: Providing patients with an accurate understanding of their specific subtype's behaviour.
✅ Optimise Management: Applying salivary gland cancer protocols where they are most effective.

At SGCUK, our mission extends to all individuals diagnosed with these rare subtypes, regardless of the primary site. Understanding the unique biology of these cells is the key to precision medicine.

🔗 Read the latest research update on ACC of the breast here: https://lnkd.in/erCk7Brs

#Oncology #PrecisionMedicine #BreastCancer #RareCancer #AdenoidCysticCarcinoma #Pathology #CancerResearch #SGCUK #TNBCGCUK #TNBC
@sgcanceruk
about 3 days ago Your Voice Matters: Share Your SGC Story 🗣️✨ Because salivary gland cancer is so rare, your personal experience is one of the most powerful tools we have. Whether you are a patient, survivor, or carer, your story helps in three big ways: 💜 Breaking Isolation: You show newly diagnosed patients that they aren't alone. 💜 Educating Clinicians: You help doctors understand the "human side" of the side effects and recovery. 💜Driving Change: Real stories help us advocate for better care and more research funding. You don’t need to be a writer. Whether it’s a few "top tips," a short video, or a written update, your journey can provide hope and guidance to someone else in the community. Ready to help? We’d love to hear from you. Message us directly or visit our website to find out how to share your story. #SGCUK #PatientVoice #RareCancer #StrongerTogether #SalivaryGlandCancer #YourStoryMatters @SGCancerUK
Clinical Spotlight: The Role of HER2 in Salivary Gland Cancers 🧬🔬

In the era of precision oncology, identifying specific biomarkers is transformative for patient outcomes. One of the most significant markers currently under the spotlight in rare salivary gland cancers (SGC) is HER2 (Human Epidermal Growth Factor Receptor 2).

While widely known in breast cancer, HER2 expression is a critical factor in specific SGC subtypes, particularly Salivary Duct Carcinoma (SDC).

Why HER2 Matters in SGC:
➡️ Growth Driver: HER2 is a protein that regulates cell growth. When overexpressed, it acts as an accelerator, causing cancer cells to multiply rapidly and increasing the likelihood of metastasis.
➡️ Prevalence: High levels of HER2 protein are found in approximately 30% of SDC cases.
➡️ Clinical Behaviour: HER2-positive SGC often mirrors the aggressive behaviour seen in HER2-positive breast cancer, requiring a targeted clinical strategy.
➡️The Treatment Landscape: Potential and Challenges
The identification of HER2 opens the door to targeted therapies that "lock onto" these proteins to inhibit tumour growth.
➡️Existing Evidence: Research has shown that drugs such as trastuzumab, pertuzumab, and T-DM1 can be effective in treating advanced, HER2-positive SGC.
➡️The Regulatory Gap: Despite promising clinical evidence, these HER2-directed therapies are not yet approved by regulators specifically for SGC in the UK, Europe, or the US. This highlights a significant area for advocacy to improve off-label access or specialised approval.
➡️Encouraging Trials: \* GQ1001 (Phase 1): Recent trials of this targeted drug showed encouraging results with a manageable side-effect profile in advanced HER2-positive cases.Combination Therapy (Phase 2): Trials combining chemotherapy with HER2-targeted drugs have demonstrated significant tumour shrinkage and extended survival rates.

Strategic Takeaway: For clinicians and patients, these findings underscore the vital importance of biomarker testing at the point of diagnosis. Identifying HER2 status is a crucial step toward accessing clinical trials and personalised treatment pathways.

At SGCUK, we continue to monitor these developments to advocate for the regulatory approvals and clinical access our community needs.

🔗 Read the full clinical brief on HER2 here: https://lnkd.in/e3uV5YNf

#Oncology #HER2 #SalivaryGlandCancer #CancerResearch #Biomarkers #TargetedTherapy 
@sgcanceruk
International Clinical Trials Day: From Citrus to Complexity 🚢🔬
This week we marked International Clinical Trials Day, commemorating the anniversary of James Lind’s landmark study in 1747.

Aboard the HMS Salisbury, Lind conducted what is widely recognised as one of the first controlled clinical trials. By treating six pairs of sailors with different remedies, ranging from cider and sea water to sulphuric acid, he proved that oranges and lemons were the definitive cure for scurvy.

It was a simple study that changed the course of medical history. However, as we celebrate nearly 300 years of clinical trial evolution, a significant disparity remains.

While the methodology of trials has advanced from wooden ships to genomic sequencing, the availability of trials for rare diseases like salivary gland cancer (SGC) in the UK has not kept pace with more common malignancies. Despite the long history of clinical research, patients with SGC still face a landscape with frustratingly few clinical trial options.

At SGCUK, we are working to change this by:
Partnering with industry to ensure rare subtypes are included in trial designs.
Advocating for adaptive trials that allow smaller patient cohorts to participate.
Building global networks to bring international research opportunities to UK patients.

On #ClinicalTrialsDay, we celebrate the legacy of James Lind by pushing for a future where clinical innovation is accessible to everyone, regardless of how rare their diagnosis may be.

#ICTD2026 #ClinicalResearch #RareCancer #MedicalHistory #SGCUK #Innovation #PatientAdvocacy #JamesLind
@sgcanceruk
about 7 days ago Let’s Talk Treatment: Radiotherapy Radiotherapy is a common part of the salivary gland cancer pathway, using targeted radiation to destroy cancer cells. While it is highly effective, it’s a treatment that comes with its own set of questions and considerations. How is it delivered? 🔹External Radiotherapy: Most commonly, this is done using a machine called a LINAC (Linear Accelerator) that moves around you, focusing the dose on the tumour while protecting healthy tissue. 🔹Specialised Techniques: You may hear terms like IMRT (Intensity Modulated Radiotherapy) or Proton Beam Therapy. These are advanced ways to be even more precise, and some are currently subjects of exciting new research. 🔹Internal Radiotherapy (Brachytherapy): In some cases, radioactive sources are placed directly inside or near the tumour using a small catheter or needle. Managing the Side Effects Because radiation can affect healthy cells nearby, side effects are common. Some are temporary, while others can be permanent "late effects." This is why we work closely with experts like Emma Hallam (Consultant Late Effects Radiographer) to provide tips on managing life after treatment. Knowledge is power when navigating treatment. If you have questions about your specific radiotherapy plan, always speak with your oncology team. 🔗 Explore our full Radiotherapy guide and patient stories here: #SGCUK #LetsTalkTreatment #Radiotherapy #CancerTreatment #SalivaryGlandCancer #ProtonBeam #PatientSupport #HNCAM @SGCancerUK
The countdown is officially on for our SGCUK Patient & Carer Gathering on Saturday, June 20th, 2026.

In the rare cancer space, the opportunity for face-to-face connection is invaluable. This gathering is designed to bridge the gap between clinical excellence and peer support, providing a unique environment for patients, families, and healthcare professionals to engage directly.

Agenda Highlights:
🔹Patient Perspectives: Hearing directly from those living with SGC to better understand the challenges and the collective actions we are taking.
🔹Clinical Guidelines: An expert session on the Late Effects of Head and Neck Cancer Guidelines with Macmillan Consultant Radiographer, Emma Hallam.
🔹Policy & Research: A briefing on the UK research landscape, including the impact of the Rare Cancers Bill and changing regulations for SGC patients.
🔹Strategic Discussion: A dedicated session for attendee feedback to help shape the future focus of SGCUK.

Event Details: 📅 Date: Saturday, June 20th, 2026 (10:00 – 16:00)
📍 Location: Glasgow, Scotland & Online (Zoom)
🏨 Accommodation: We have a room block held at Motel One Glasgow Central, please contact us by June 12th to secure a spot.

Removing Barriers to Access: We are committed to ensuring that financial or geographical constraints do not prevent our community from connecting. Travel bursaries are available to assist with attendance costs, including travel and accommodation.

As always, we will be filming on the day to capture the powerful stories of our community. We invite you to join us in person or online for a day of insight, advocacy, and connection.

👇 Register for your complimentary spot here: \[Link to Registration\]

#SGCUK #GlasgowGathering #OncologyNetworking #PatientAdvocacy #RareCancer #SalivaryGlandCancer #HealthcareEvents #LateEffects #RareCancersBill #ScotlandHealth
@sgcanceruk
about 11 days ago With two Bank Holiday weekends this month, we know this can be a stressful time for the SGC community. Between pharmacy closures and reduced hospital staffing, the "long weekend" often brings unexpected hurdles for cancer care. Why Planning Matters: 🔹Treatment Shifts: Appointments for chemotherapy or radiotherapy scheduled for Mondays are often moved, which can lead to anxiety about treatment gaps. 🔹Pharmacy Deadlines: Many hospital and local pharmacies have early cut-off dates for prescriptions. 🔹Reduced Support: GP surgeries will be closed, making it harder to manage new symptoms or urgent refills. 3 Steps to a Stress-Free Weekend: ➡️Check Your Meds Now: Ensure you have enough routine and "as-needed" medications (like anti-sickness or pain relief) to last until Tuesday. ➡️Confirm Your Schedule: If you have an appointment near the Bank Holiday, double-check the time and location with your oncology team this week. ➡️Keep Emergencies Handy: Ensure your 24-hour oncology emergency number is saved in your phone or stuck on the fridge. The pressure to "join in" on social plans can also be tiring. It’s okay to prioritise your rest and stick to your own pace. Stay prepared, stay supported. #SGCUK #BankHolidayPrep #CancerCare #PatientSafety #SalivaryGlandCancer #HealthTips #CheckYourMeds @SGCancerUK
about 15 days ago Did you know that less than 1% of breast cancers are actually "salivary gland types"? Rare types like Adenoid Cystic Carcinoma (ACC) and Secretory Carcinoma (SC) can sometimes start in the breast tissue rather than the mouth. Because these cells behave like SGC, they often require a different treatment approach than typical breast cancers. The Risk of Misdiagnosis ACC of the breast is often "Triple Negative." In common breast cancer, this usually indicates an aggressive disease, but in ACC, it is typically much slower-growing. Distinguishing between the two is vital to ensure patients receive the correct care and aren't over-treated. At SGCUK, we support everyone with these rare subtypes, no matter where in the body they are diagnosed. Understanding the "cell signature" is the key to the right treatment. 🔗 Read our latest research update on ACC of the breast: #SGCUK #RareCancer #BreastCancer #ACC #SecretoryCarcinoma #Oncology #TripleNegative #PatientSupport @SGCancerUK
about 17 days ago Happy International Nurses Day! 💙 Today, May 12th, we join the world in celebrating the incredible dedication and expertise of the nursing profession. Coinciding with the birth of Florence Nightingale, this day is a chance to say a massive "thank you" to the nurses who are the heartbeat of our healthcare system. For the Salivary Gland Cancer community, nurses are more than just healthcare providers, they are our navigators, our advocates, and our support systems. Research Powered by Care 🧬 We are particularly proud and privileged to have the nursing perspective at the very heart of our research strategy. We want to give a special shout-out to Andrea Nelson and Sammy Rokosynski, who sit on our UK SGC Research Working Group. Having highly experienced nurses involved in research ensures that: ✅ The patient experience is prioritized in clinical trial designs. ✅ We bridge the gap between complex clinical data and day-to-day patient care. ✅ We focus on the "whole person," including the management of long-term side effects and recovery. The 2026 theme "Our Nurses. Our Future. The economic power of care"—reminds us that investing in nursing and involving them in research is an investment in a healthier, stronger future for the entire SGC community. Join us in saying thanks! 🦋 Do you have a nurse who made a difference in your SGC journey? Give them a shout-out in the comments below or wear blue today to show your support! #InternationalNursesDay #IND2026 #OurNursesOurFuture #SGCUK #NursesInResearch #SGCResearch #HeadAndNeckCancer #ThankYouNurses #HealthcareHeroes @SGCancerUK
Today we celebrate International Nurses Day and the profound impact of the nursing profession on global health systems.

In the rare cancer community, Specialist Head and Neck Nurses and Research Nurses are the backbone of the patient experience. The 2026 theme, "Our Nurses. Our Future. The economic power of care," reminds us that investing in nursing expertise directly strengthens our healthcare economy, improves patient safety, and accelerates clinical progress.

Bridging the Gap Between Care and Research🧬 At SGCUK, we don’t just celebrate nurses as caregivers; we value them as strategic research partners. We are incredibly privileged to have Andrea Nelson and Sammy Rokosynski as key members of our UK SGC Research Working Group.

By integrating their frontline clinical expertise into our research strategy, we ensure that: ✅ Clinical Trial Design is grounded in the reality of patient needs. ✅ Patient Advocacy is balanced with complex clinical data. ✅ Late Effects & Survivorship remain a central focus of our scientific inquiries.

We thank Andrea, Sammy, and all dedicated nursing professionals who bridge the gap between innovation and compassionate care every day.
#InternationalNursesDay #IND2026 #NursesDay #HealthcareLeadership #SGCResearch #OncologyNursing #FutureOfCare #ClinicalResearch #SGCUK
@sgcanceruk
about 18 days ago This Mental Health Awareness Week (11–17 May), we are highlighting that psychological support is a core part of the salivary gland cancer pathway, not an "optional extra." A diagnosis impacts far more than just your physical health. From "scanxiety" to navigating changes in appearance or speech, the emotional journey is significant. Dr. Elaine Mayon-White, Chartered Psychologist, emphasises that specialist support is a vital tool to help our community: 🧠Process the "Rare" Factor: Overcoming the isolation of a lesser-known diagnosis. 🧠Adjust to Change: Managing the emotional impact of surgery and treatment side effects. 🧠Communicate Needs: Finding safe ways to talk about your journey with loved ones and your clinical team. Whether you are a patient or a carer, your mental well-being is a priority. This week, we encourage you to explore the resources available to help you navigate these unique challenges. 🔗 Access our Psychological Support resources here: #MentalHealthAwarenessWeek #MHAW26 #SGCUK #MentalHealth #CancerSupport #RareCancer #SalivaryGlandCancer #YouAreNotAlone @SGCancerUK
BAHNO 2026: Strengthening Clinical Standards for Salivary Gland Cancer 🏥🔬
Our team is heading to the BAHNO (British Association of Head and Neck Oncologists) Annual Scientific Meeting this Friday, May 15th, to share new insights from the SGCUK Research Working Group.

As part of our mission to bridge the gap between patient experience and clinical practice, we will be presenting a poster focused on our first Research Question (RQ1).

Featured Presentation: RQ1
Title: 'Addressing the Utility of Guidelines for Oncological Management of Salivary Gland Malignancies'

In the management of rare cancers, clinical guidelines are essential for ensuring equity of care. However, the histological diversity of salivary gland malignancies presents unique challenges for standardization. Our research evaluates the current utility of these guidelines and identifies critical areas where further refinement is needed to support clinicians and improve patient outcomes.

Why this research matters:
🔹Consistency of Care: Assessing how guidelines are applied to ensure every patient receives evidence-based treatment.
🔹Identifying Gaps: Highlighting where current protocols may not fully address the complexities of specific SGC subtypes.
🔹Informing Future Policy: Using these insights to advocate for updated, comprehensive management pathways.

If you are attending #BAHNO2026, we invite you to visit us during the poster sessions. We are keen to discuss these findings with fellow oncologists, surgeons, and researchers to ensure that future clinical standards are both robust and patient-centred.
Follow \@BAHNOOffical for live updates from the conference!

#BAHNO2026 #HeadAndNeckCancer #OncologyResearch #ClinicalGuidelines #SalivaryGlandCancer #SGCUK #MedicalInnovation #EvidenceBasedMedicine
Sarah Brigham Sean Buckland \@Satya Garikipati Puteri Abdul Haris Rumana Newlands \@Romelie Rieu
@sgcanceruk
about 21 days ago We have just ONE charity spot remaining for the iconic Loch Ness Marathon this September! This isn't just a race through some of the UK’s most beautiful scenery, it’s a chance to make a tangible difference for the salivary gland cancer community. By taking this final spot, you’ll be raising vital funds for our Patient Travel Bursary Fund. Why your run matters: For many SGC patients, the best treatment or clinical trial isn't always local. Your fundraising ensures that travel costs are never a barrier to receiving specialist care or attending our support gatherings. Will you be our final "Nessie" runner? Don't wait, once this spot is gone, it’s gone! 📩 Message us NOW to claim the last place or email us at [email protected] to get started. #LochNessMarathon #SGCUK #FinalSpot #RunForCharity #RareCancer #MarathonTraining #LochNess #SalivaryGlandCancer @SGCancerUK
Precision is everything in rare oncology. Secretory Carcinoma (SC) accounts for less than 0.3% of salivary gland cancers, and because it mimics other subtypes under a microscope, genetic analysis is the gold standard for diagnosis.

The discovery of the ETV6-NTRK3 gene fusion has transformed the treatment landscape for SC. While surgery remains the primary intervention, the identification of this genetic "signature" allows for the use of highly effective targeted therapies like larotrectinib or entrectinib.

At SGCUK, we continue to advocate for universal access to whole genome sequencing (WGS) to ensure every patient receive a diagnosis, and a treatment plan, backed by molecular evidence.

https://lnkd.in/e644ANFQ
#PrecisionMedicine #Genomics #OncologyResearch #SecretoryCarcinoma #RareDisease #HealthTech
@sgcanceruk
about 23 days ago Today, we’re shining a light on Secretory Carcinoma (SC), an extremely rare subtype that makes up less than 0.3% of all cases. What is Secretory Carcinoma? SC is typically a slow-growing, painless lump, most commonly found in the parotid gland (near the ear) or the minor salivary glands in the mouth. It is often discovered by accident and is generally considered a less aggressive form of cancer. The Power of Genetic Testing 🧬 Because SC can look like other types of cancer under a microscope, genetic analysis is often the only way to confirm a diagnosis. Researchers have found that SC is almost always driven by a specific "gene fusion" (ETV6 and NTRK3). Why this matters for treatment: While surgery and radiotherapy are the standard first steps, this specific genetic "signature" has opened a new door for patients. Targeted drugs like larotrectinib or entrectinib have shown great results for SC that has spread, providing a much more effective alternative to traditional chemotherapy. This is exactly why we advocate for every patient to have access to genomic testing, it’s about getting the right treatment for your specific type of cancer. 🔗 Read more about Secretory Carcinoma here: #SGCUK #SecretoryCarcinoma #RareCancer #GenomicTesting #PrecisionMedicine #CancerAwareness #SalivaryGlandCancer @SGCancerUK
about 26 days ago Sometimes, the weight of a diagnosis or the challenges of recovery can feel overwhelming. In those moments, it’s important to look back at how far you’ve already come. "You are braver than you believe, stronger than you seem, and smarter than you think." At SGCUK, we see this bravery every day in our community, in the patients navigating treatment, the carers providing tireless support, and the clinicians searching for answers. Rare cancer can feel isolating, but please remember: You are not a statistic, and you are not alone. Whether you are having a "strong" day or a day where you just need to rest, you are part of a network that stands with you. How do you stay encouraged? If you have a favorite quote or a piece of advice that helped you through a "sticky" patch, please share it in the comments below. Your words might be exactly what someone else needs to hear today. 👇 #SGCUK #Inspiration #RareCancer #CommunitySupport #YouAreNotAlone #Hope #SalivaryGlandCancer @SGCancerUK
about 28 days ago We’re heading to Glasgow! Will you join us? 🏴󠁧󠁢󠁳󠁣󠁴󠁿 The countdown is officially on for our SGCUK Patient & Carer Gathering on Saturday, June 20th. For many of us, this is the highlight of the year, a chance to meet others who truly "get it" in a relaxed, supportive space. Whether you are a patient, a clinician, or a carer, this day is for you. This is the perfect opportunity to hear the latest updates on SGC activities in the UK and internationally, and most importantly, to connect with our community. What to expect: ✅ Real Stories: Hear from fellow patients about their experiences and how we are tackling the challenges of SGC together. ✅ Expert Guidance: A deep dive into the Late Effects of Head and Neck Cancer Guidelines with Macmillan Consultant Radiographer, Emma Hallam. ✅ Research & Policy Updates: Learn about the UK trial landscape and how the Rare Cancers Bill will impact the future for SGC patients. ✅ Your Voice: Join the discussion to help shape our future focus. When: Saturday, June 20th, 2026 (10:00 AM – 4:00 PM) Where: Glasgow & Online via Zoom As always, we’ll be filming stories on the day to help raise awareness, we’d love for you to share yours! Don’t miss out on this day of connection and community. We can't wait to see some familiar faces and welcome new ones! 👇 Register your free spot here (In-person or Zoom): #SGCUK #GlasgowGathering #RareCancerSupport #CancerCommunity #SalivaryGlandCancer #SGCFamily #PatientVoice @SGCancerUK
about 29 days ago As we close out Head and Neck Cancer Awareness Month, we want to focus on the most important tool in any patient’s journey: Early Detection. Because salivary gland cancers (SGC) are rare, the symptoms can sometimes be overlooked or attributed to more common conditions like dental issues. However, knowing what to look for can make a huge difference. What should you look for? The most common sign of SGC is a slow-growing, painless lump. Expert Insight: Dr. Sam Rack on Aims 3 & 4 📺 We are working hard to improve how quickly patients are diagnosed. In this video, Sam explains our core missions: Aim 3 (Improving clinical pathways) and Aim 4 (Increasing rates of early diagnosis). Hearing from a doctor about why these pathways matter helps us all understand why "checking your neck" and seeing a professional is so vital. 👉 Watch Dr. Sam’s video here: When to see a professional: If you notice a persistent lump or swelling in your face, jaw, or neck that hasn't gone away after two weeks, please make an appointment with your GP or Dentist. They are your first line of defense. Help us spread the word - sharing this expert advice could help someone catch a diagnosis early. #SGCUK #HNCAM #EarlyDetection #SalivaryGlandCancer #CancerAwareness #CheckYourNeck #HeadAndNeckCancer #DoctorInsight @SGCancerUK
about a month ago Community Spotlight: Running for Charlotte’s Journey 🏃‍♂️✨ We are so moved by the incredible strength of Tom Surgenor and his family. In June 2025, Tom’s wife Charlotte. an amazing mum to little Maisie, was diagnosed with Adenoid Cystic Carcinoma (ACC), a rare and challenging type of salivary gland cancer. Because ACC is so rare, research and funding are often limited. Tom and the "Charlotte’s Journey" team are on a mission to change that. They are raising vital funds for SGCUK to help us drive the research, genomic testing, and patient support that families like theirs rely on. Tom says: "Any donation, no matter how small, and even simply sharing this page, will help make a difference. Your kindness and support mean more to our family than words can say, and will help give hope to others facing the same diagnosis." At SGCUK, every penny raised by our community goes directly toward ensuring that "rare" never means "forgotten." We are standing right behind Tom, Charlotte, and Maisie. How you can help today: 👉 Donate to Tom’s fundraiser: 👉 Follow their journey and show your support on Instagram: @charlottesjourneyx 👉 Share this post to help spread awareness of ACC. Thank you, Tom, for your incredible dedication. We are honored to have you in our network. #SGCUK #CharlottesJourney #AdenoidCysticCarcinoma #ACC #RareCancer #Fundraising #CommunityStrength #SalivaryGlandCancer @SGCancerUK
about a month ago As we move through Head and Neck Cancer Awareness Month, we want to turn awareness into action. At SGCUK, we are proud of our 7-year history of helping patients, but there is still work to be done. How you can support the SGC community today: Register for the Gathering: Our Glasgow Gathering on June 20th is the ultimate awareness event - connecting patients, carers, and experts. Loch Ness Marathon: We still have 1 spot left for our "Nessies"! Run for a cause by emailing [email protected]. Educate: Share something from our website like our "Body Sites" guide to help others understand the impact of SGC Thank you for being part of our network. Whether you are sharing a post or running a marathon, you are helping to put Salivary Gland Cancer on the map. #SGCUK #AwarenessMonth #LochNessMarathon #CancerSupport #PatientVoice #HNCAM @SGCancerUK
about a month ago Surgery, Bone, and Recovery – What You Need to Know 🦷 When facing surgery for salivary gland cancer, you might hear your surgical team talk about the "Maxilla" or the "Mandible." These are simply the medical names for your upper and lower jaw bones. Why does bone matter in SGC surgery? Because salivary glands sit very close to your jaws, surgeons sometimes need to remove a small piece of bone to make sure they have removed all the cancer cells. 1. The Maxilla (Upper Jaw): This bone forms the roof of your mouth. If part of this is removed, a Restorative Dentist can create something called an obturator. Think of it like a specialised dental plate that fills the gap, helping you eat, drink, and speak just like before. 2. The Mandible (Lower Jaw): This is your moving jaw bone. If a piece of the mandible needs to be removed (which can happen with submandibular gland tumors), reconstructive surgery can help rebuild the area to keep your jaw strong and your smile intact. You aren't alone in this. Heading into surgery that involves bone can feel daunting, but the teams who handle these operations are experts in both removing the cancer and rebuilding the structure of your face. Have questions about dental or jaw reconstruction after surgery? Check out our "Body Sites" guide here: #SGCUK #FaceAnatomy #CancerRecovery #SGCSupport #OralHealth #SurgerySupport @SGCancerUK
about a month ago Thank you Duane!!! What an incredible achievement! We appreciate your support so much 💕 @SGCancerUK
👏 The session 'FDA Project Frontrunner - Accelerating Drug Approval for Patients' session was particularly interesting to us.
Thank you!

IQVIA
@sgcanceruk
about a month ago Feeling Anxious About Seeing Friends? You Aren’t Alone. ❤️ Have you found that seeing friends, something that used to be fun, now triggers a bit of panic or sadness? Many in our community have shared that while they felt "okay" while at home during treatment, re-entering the world feels different. You might see people your own age living a life that feels miles away from yours. Dr. Elaine Mayon-White has some gentle advice for these moments: ✅ Be Kind to Your Brain: If you’ve been isolated, your brain might be stuck in "protection mode." Try small steps. Start with a very short meet-up and tell your friends, "I’m feeling a bit anxious being out and about; can we keep it short today?" ✅ Give Permission: One patient shared that they gave their family permission to say, "Hang on, I think you’re heading into a sticky place." Sometimes those close to us see the signs of a panic attack before we do! ✅ Grounding Techniques: If you experience physical symptoms like visual disturbances during a panic attack, try focusing on your breathing to help regulate your body. (Note: Always get new physical symptoms checked by your doctor first!) ✅ Focus on the "Here and Now": It is okay to feel sad that your life looks different from your friends'. By acknowledging that loss, you can focus more clearly on the present moment and what you have right now. Watch the full video with Dr. Elaine here for more techniques: #SGCUK #AnxietySupport #CancerJourney #MentalHealthMatters #SalivaryGlandCancer #YouAreNotAlone #SmallSteps @SGCancerUK
about a month ago Taking the "SGC Talk" to Your Dentist Did you know your dentist is often the first person to spot a change in your mouth or jaw? Whether you are currently in treatment or have been in recovery for years, your local dentist is a huge part of your "Team." Three things to talk to your dentist about: Any New Lumps: If you feel a painless swelling in your cheek or the roof of your mouth, show them! Dry Mouth: If treatment has left you with less saliva, your dentist can prescribe special high-fluoride toothpaste or gels to protect your teeth. Your History: Make sure they know your specific SGC subtype. It helps them tailor your check-ups. The Role of the Dental Hygienist ✨ Recovery doesn’t stop at the surgeon's office. Keeping your mouth meticulously clean after treatment is essential, especially if your saliva production has changed. A dental hygienist can help you manage plaque and prevent infections that are more common post-radiotherapy. As Frances explains in her video, a regular toothbrush only cleans about 60% of your teeth. 📺 Watch Frances’ guide on interdental cleaning here: #SGCUK #DentalHealth #CancerSupport #CheckYourNeck #PatientTips #HealthySmile #OralHygiene #DentalHygienist #TePe @SGCancerUK
Help us change the diagnostic journey for Salivary Gland Cancer.

Early detection saves lives, but for rare cancers, the path to a diagnosis can often be long and complex.

We are looking for individuals in the UK who have been diagnosed with salivary gland cancer (including salivary gland-type cancers like ACC originating in the breast, trachea, skin, bartholins gland or lungs) to share their experiences.

Goal: To improve early detection and patient care in the UK.
Time: Approx. 15 minutes.
Privacy: Completely anonymous.

If you’ve navigated this journey, your voice is vital. Please consider taking part or sharing this post with your network to help us reach those who can.

Take the survey here: https://lnkd.in/eXWDbMcA

Please share with your networks.

#SalivaryGlandCancer #RareCancer #PatientVoice #UKHealth #CancerResearch #EarlyDiagnosis #headandneckcancer
@sgcanceruk
about a month ago A Race for Legacy and Hope ❤️ 👟 We want to send a massive "Good Luck" and a huge thank you to Aneesha Robins, who is taking on the London Marathon for SGCUK on April 26th! Aneesha is running in honour of her mum, Kamla Devi Sondhi, who bravely faced a rare cancer called Adenoid Cystic Carcinoma (ACC). Aneesha’s story is a powerful reminder of why research matters: Because of pioneering treatment, her mum was given six extra years of life. Six years of love and memories that Aneesha now carries with her in every mile she runs. "She proved that rare doesn’t have to mean hopeless. It just means overlooked." We are so proud to have been part of Kamla’s journey, and we are honoured that Aneesha has chosen to support SGCUK to help other families get the same gift of time and hope. Let’s help Aneesha smash her fundraising goal! Every donation helps us fund the research that turns "rare" into "reachable." 👇 Donate and leave a message of support for Aneesha here: #SGCUK #LondonMarathon #TeamSGCUK #ACC #RareCancer #RunningForMom #Hope #MoreLife @SGCancerUK
about 2 months ago Did you know that you have hundreds of "minor" salivary glands lining your mouth, lips, and tongue? While they only produce a small amount of your saliva, they can sometimes be the starting point for a rare cancer called Hyalinising Clear Cell Carcinoma (CCC). What should you know about CCC? Slow & Steady: CCC is generally a non-aggressive cancer. It usually grows slowly as a painless lump in the mouth. The "Clear" Name: It gets its name because, under a microscope, the cancer cells look clear inside! Diagnosis Matters: Because it can look like other types of cancer, doctors often use genetic testing to look for a specific "link" between two genes (EWSR1 and ATF1). Finding this link confirms it is CCC. Good News on Recovery: The main treatment is surgery. Because CCC rarely spreads to other parts of the body, the long-term outlook for patients is typically very good. If you or a loved one are navigating a diagnosis of CCC, remember that while it is rare, it is also highly treatable. Want to learn more about the different types of salivary gland cancer? Visit our website for patient-friendly guides and support: #SGCUK #RareCancer #ClearCellCarcinoma #SalivaryGland #PatientSupport #CancerAwareness @SGCancerUK

Contact Us

hello@salivaryglandcancer.uk

Salivary Gland Cancer UK, International House, 36-38 Cornhill, London EC3V 3NG

Terms & Conditions Cookies Privacy Policy

Salivary Gland Cancer UK is a registered charity number 1182762.